ترمیم دندان های پوسیده با کامپوزیت؛ دندانهای سالم نقش مهمی در جویدن، صحبت کردن و زیبایی لبخند ما دارند. اما پوسیدگی دندان یکی از مشکلات شایع دهان و دندان است که اگر به موقع درمان نشود، میتواند باعث درد، حساسیت و حتی از دست رفتن دندان شود. انتخاب روش مناسب برای ترمیم دندانهای پوسیده اهمیت زیادی دارد، زیرا هم سلامت دندان را حفظ میکند و هم ظاهر طبیعی لبخند را تضمین میکند.
یکی از روشهای مدرن و پرکاربرد برای ترمیم دندانهای پوسیده، استفاده از کامپوزیت دندان است. این ماده نه تنها به خوبی جایگزین بخشهای از دست رفته دندان میشود، بلکه به دلیل رنگ و شفافیت طبیعی، ظاهری کاملاً هماهنگ با دندانهای سالم ایجاد میکند. به همین دلیل، کامپوزیت به یکی از محبوبترین انتخابها در دندانپزشکی ترمیمی و زیبایی تبدیل شده است.
در ادامه این مقاله، به بررسی دقیقتر کامپوزیت دندان، کاربردها، مزایا و مراحل انجام ترمیم با آن میپردازیم تا شما بتوانید با آگاهی کامل بهترین تصمیم را برای حفظ سلامت دندانهای خود بگیرید.

کامپوزیت دندان چیست؟
کامپوزیت دندان یک ماده ترمیمی همرنگ دندان است که از ترکیبی از رزینهای مخصوص و ذرات معدنی ساخته شده است. این ترکیب باعث میشود که کامپوزیت علاوه بر استحکام کافی، ظاهری طبیعی و شفاف مشابه مینای دندان داشته باشد.
کامپوزیتها در دندانپزشکی برای پر کردن دندانهای پوسیده، اصلاح رنگ و شکل دندان، و ترمیم ترکها یا شکستگیهای جزئی استفاده میشوند. یکی از بزرگترین مزایای کامپوزیت این است که نیاز به تراشیدن زیاد دندانهای سالم ندارد، بنابراین بخش بیشتری از ساختار طبیعی دندان حفظ میشود.
علاوه بر این، کامپوزیت قابلیت شکلدهی دقیق دارد و دندانپزشک میتواند آن را به شکل دلخواه و مطابق با خطوط طبیعی دندانها درآورد. پس از اعمال کامپوزیت روی دندان، با استفاده از نور مخصوصی آن را سخت و مقاوم میکنند و در نهایت سطح آن را صیقل میدهند تا کاملاً طبیعی و همرنگ با سایر دندانها به نظر برسد.
با پیشرفت تکنولوژی مواد کامپوزیتی، این روش ترمیمی امروز به یکی از استانداردهای اصلی دندانپزشکی مدرن برای درمان پوسیدگیها و آسیبهای جزئی دندان تبدیل شده است.
کاربردهای کامپوزیت در ترمیم دندان
کامپوزیت دندان یک ماده چندکاره است که در دندانپزشکی ترمیمی و زیبایی کاربردهای متنوعی دارد. مهمترین کاربردهای آن عبارتند از:
1. پر کردن دندانهای پوسیده
کامپوزیت به عنوان جایگزین مواد سنتی مانند آمالگام، برای پر کردن دندانهای پوسیده استفاده میشود. این ماده علاوه بر پر کردن حفره، ظاهری طبیعی و همرنگ دندان ایجاد میکند و باعث میشود ترمیم به چشم نیاید.
2. اصلاح شکل و رنگ دندانها
کامپوزیت میتواند برای بهبود ظاهر دندانها، مثل تغییر رنگ زرد یا لکهدار شدن دندانها و اصلاح شکل دندانهای نامرتب و کوچک، به کار رود. این کار باعث زیبایی لبخند بدون نیاز به روشهای پیچیدهتر میشود.
3. ترمیم ترکها و شکستگیهای جزئی
اگر دندان دچار ترک یا شکستگی کوچک شده باشد، کامپوزیت میتواند به سرعت و به شکل طبیعی آن را ترمیم کند و مانع پیشرفت آسیب شود.
4. پر کردن فاصلههای بین دندانها (Diastema closure)
کامپوزیت میتواند فواصل کوچک بین دندانها را پر کند و لبخندی یکدست و هماهنگ ایجاد کند.
5. استفاده در دندانهای حساس
با توجه به خواص محافظتی کامپوزیت، این ماده میتواند به کاهش حساسیت دندانها در بعضی موارد کمک کند.
مزایای ترمیم دندان با کامپوزیت
ترمیم دندان با کامپوزیت به دلیل ترکیب ویژگیهای زیبایی، ماندگاری و محافظت از ساختار طبیعی دندان، یکی از محبوبترین روشهای ترمیم در دندانپزشکی مدرن محسوب میشود. برخی از مزایای برجسته این روش عبارتند از:
1. ظاهر طبیعی و هماهنگ با دندانها
رنگ کامپوزیت دقیقاً با رنگ دندانهای طبیعی تنظیم میشود، بنابراین پرکردگی یا ترمیم اصلاً قابل تشخیص نیست. این ویژگی باعث میشود لبخند شما کاملاً طبیعی و زیبا به نظر برسد.
2. حداقل تراش دندان سالم
در مقایسه با آمالگام یا سایر مواد قدیمی، هنگام ترمیم با کامپوزیت فقط بخش پوسیده دندان برداشته میشود. در نتیجه، ساختار سالم دندان تا حد ممکن حفظ میشود.
3. چسبندگی قوی به ساختار دندان
کامپوزیت بهصورت شیمیایی به مینای دندان میچسبد و پیوند محکمی ایجاد میکند. این ویژگی باعث افزایش استحکام ترمیم و جلوگیری از نفوذ باکتریها به زیر آن میشود.
4. قابل ترمیم و اصلاح در آینده
در صورت آسیب یا تغییر رنگ، بخش کوچکی از کامپوزیت بهراحتی ترمیم یا تعویض میشود، بدون اینکه نیاز به حذف کامل ماده قبلی باشد.
5. کاربرد سریع و بدون نیاز به قالبگیری پیچیده
در اغلب موارد، درمان کامپوزیت در یک جلسه انجام میشود و بیمار بلافاصله میتواند از دندان خود استفاده کند.
6. ایمنی بالا و بدون فلز
برخلاف آمالگامهای قدیمی، کامپوزیت فاقد فلز و جیوه است و هیچ خطری برای بدن ندارد.

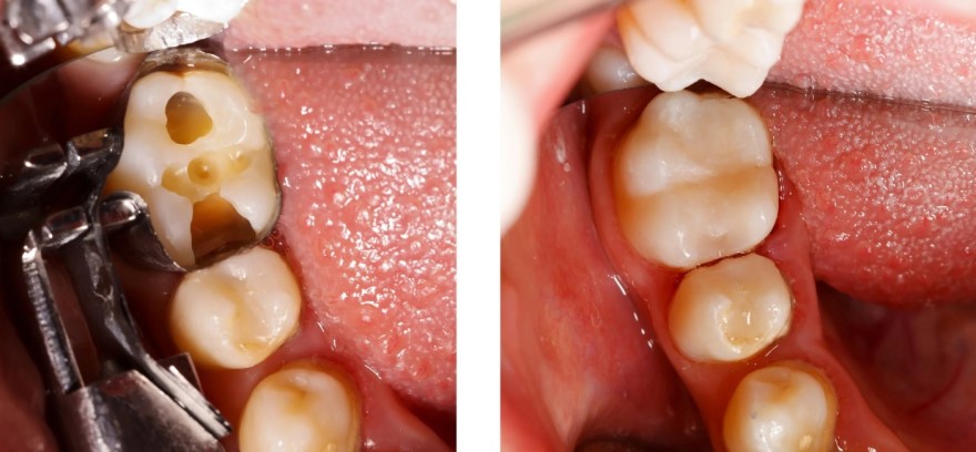
مراحل انجام ترمیم با کامپوزیت
ترمیم دندان با کامپوزیت یک فرآیند دقیق و مرحلهبهمرحله است که به حفظ سلامت دندان و ایجاد ظاهر طبیعی کمک میکند. مراحل اصلی این درمان عبارتند از:
1. بررسی و تشخیص پوسیدگی
دندانپزشک ابتدا دندانها را معاینه کرده و میزان پوسیدگی را مشخص میکند. در این مرحله، در صورت نیاز، از رادیوگرافی برای تشخیص دقیق استفاده میشود.
2. آمادهسازی دندان
بخش پوسیده دندان با ابزار مخصوص برداشته میشود. در این مرحله، دندان سالم تا حد امکان حفظ میشود و سطح آماده برای پذیرش کامپوزیت آماده میگردد.
3. اعمال ماده کامپوزیت و شکلدهی
کامپوزیت به صورت لایهای روی دندان قرار داده میشود و دندانپزشک آن را با دقت شکل میدهد تا فرم و ارتفاع دندان طبیعی حفظ شود.
4. نوردهی برای سفت شدن ماده
پس از شکلدهی، از نور مخصوص (LED یا UV) برای سخت شدن کامپوزیت استفاده میشود. این مرحله باعث افزایش دوام و استحکام ترمیم میشود.
5. پالیش و صیقل نهایی
در پایان، سطح کامپوزیت صیقل داده میشود تا صاف، براق و هماهنگ با سایر دندانها باشد. این مرحله همچنین به کاهش تجمع پلاک و جلوگیری از لک شدن ترمیم کمک میکند.
مراقبتهای بعد از ترمیم دندان با کامپوزیت
بعد از انجام ترمیم با کامپوزیت، رعایت چند نکته ساده میتواند طول عمر ترمیم و سلامت دندانها را افزایش دهد:
1. رعایت بهداشت دهان و دندان
مسواک زدن حداقل دو بار در روز و استفاده از نخ دندان، به جلوگیری از پوسیدگی مجدد و تجمع باکتریها کمک میکند.
2. پرهیز از مصرف مواد غذایی سخت یا چسبناک
جویدن یخ، آجیلهای سخت یا مواد خیلی چسبناک میتواند باعث ترک خوردن یا جدا شدن کامپوزیت شود. بهتر است تا حد امکان از این مواد خودداری شود.
3. چکاپهای منظم نزد دندانپزشک
مراجعات دورهای به دندانپزشک، معمولاً هر ۶ ماه یکبار، کمک میکند تا ترمیم بررسی و در صورت نیاز، اصلاح شود.
4. اجتناب از تغییر رنگ دهان
مصرف زیاد چای، قهوه، نوشابههای رنگی و سیگار میتواند باعث تغییر رنگ کامپوزیت شود. رعایت تعادل در مصرف این مواد باعث ماندگاری ظاهر طبیعی ترمیم میشود.
5. مراقبت از دندانهای مقابل فشار زیاد
اگر عادت به دندانقروچه دارید، استفاده از محافظ شبانه میتواند از آسیب دیدن کامپوزیت جلوگیری کند.

هزینه و طول عمر ترمیم دندان با کامپوزیت
ترمیم دندان با کامپوزیت یک سرمایهگذاری هم برای سلامت دندان و هم برای زیبایی لبخند شماست. هزینه و ماندگاری این روش به چند عامل بستگی دارد:
1. فاکتورهای تأثیرگذار بر قیمت
- تعداد دندانهای ترمیمی: هر چه تعداد دندانهای ترمیمی بیشتر باشد، هزینه بالاتر خواهد بود.
- اندازه و عمق پوسیدگی: پوسیدگیهای عمیق یا گسترده نیاز به لایههای بیشتری از کامپوزیت دارند.
- تخصص و تجربه دندانپزشک: دندانپزشکان متخصص ترمیم و زیبایی ممکن است هزینه بالاتری داشته باشند، اما کیفیت و دوام ترمیم بالاتر است.
- نوع و برند کامپوزیت: کیفیت مواد کامپوزیتی نیز در هزینه تأثیرگذار است.
2. طول عمر متوسط ترمیم با کامپوزیت
- با مراقبت مناسب، ترمیم کامپوزیت میتواند ۵ تا ۱۰ سال دوام داشته باشد.
- رعایت بهداشت دهان و دندان، اجتناب از جویدن مواد سخت و مراجعات منظم به دندانپزشک، طول عمر ترمیم را افزایش میدهد.
3. تأثیر مراقبتهای بعد از ترمیم
- تمیز نگه داشتن دندانها، پرهیز از مواد غذایی رنگی یا چسبناک و استفاده از محافظ دندان در شب (در صورت دندانقروچه) به حفظ زیبایی و استحکام کامپوزیت کمک میکند.
سؤالات متداول درباره ترمیم دندان با کامپوزیت
1. آیا کامپوزیت باعث حساسیت دندان میشود؟
معمولاً حساسیت دندان بعد از ترمیم کامپوزیت کوتاهمدت و موقت است و طی چند روز برطرف میشود. رعایت نکات مراقبتی و انتخاب مواد با کیفیت توسط دندانپزشک، این حساسیت را کاهش میدهد.
2. آیا رنگ کامپوزیت تغییر میکند؟
رنگ کامپوزیت تا حد زیادی پایدار است، اما مصرف زیاد چای، قهوه، نوشابههای رنگی یا سیگار میتواند باعث تغییر رنگ جزئی شود. پالیش منظم و رعایت بهداشت دهان کمک زیادی به حفظ رنگ طبیعی آن میکند.
3. چه کسانی گزینه مناسبی برای ترمیم با کامپوزیت هستند؟
افرادی که دندانهای پوسیده، ترکخورده یا تغییر رنگ یافته دارند، معمولاً بهترین گزینهها برای ترمیم با کامپوزیت هستند. همچنین افرادی که به دنبال ترمیم سریع و ظاهری طبیعی دندان هستند، کامپوزیت انتخاب مناسبی است.
4. آیا ترمیم کامپوزیت نیاز به تعویض دارد؟
ترمیم کامپوزیت در صورت مراقبت مناسب ممکن است ۵ تا ۱۰ سال دوام داشته باشد. با گذر زمان یا در صورت آسیب، امکان ترمیم یا تعویض بخشهایی از کامپوزیت وجود دارد.
5. آیا کامپوزیت برای همه دندانها مناسب است؟
کامپوزیت برای دندان های جلو و عقب مناسب است، اما در موارد پوسیدگیهای عمیق یا گسترده ممکن است دندانپزشک گزینههای دیگری مانند پرسلن یا ایمپلنت را پیشنهاد دهد.
نتیجهگیری
ترمیم دندان های پوسیده با کامپوزیت دندان یکی از روشهای مدرن، طبیعی و مؤثر در دندانپزشکی است که هم سلامت دندانها را حفظ میکند و هم ظاهر لبخند را زیبا نگه میدارد. استفاده از کامپوزیت مزایای زیادی دارد، از جمله حفظ ساختار دندان سالم، دوام مناسب، ظاهر طبیعی و امکان ترمیم آسان در صورت آسیب یا تغییر رنگ.
با مراقبتهای ساده پس از ترمیم مانند رعایت بهداشت دهان و دندان، پرهیز از مصرف مواد غذایی سخت یا رنگی و مراجعات دورهای به دندانپزشک، میتوان طول عمر ترمیم را افزایش داد و از سلامت و زیبایی دندانها برای سالها لذت برد.
در نهایت، مراجعه به یک دندانپزشک متخصص و با تجربه، مانند دکتر دوستکی در تهران، منطقه ونک، اطمینان میدهد که ترمیم با کامپوزیت به بهترین شکل و با کیفیت بالا انجام شود و لبخند شما سالم و طبیعی باقی بماند.