پرکردگی همرنگ دندان با دوام بالا

داشتن دندان‌هایی سالم و زیبا یکی از مهم‌ترین عوامل اعتماد به نفس و جذابیت لبخند است. امروزه درمان‌های ترمیمی و زیبایی دندان به گونه‌ای پیشرفت کرده‌اند که می‌توان هم سلامت دندان‌ها را حفظ کرد و هم ظاهر آن‌ها را به شکل طبیعی بهبود داد. یکی از پرطرفدارترین روش‌ها در دندانپزشکی مدرن، پرکردگی همرنگ دندان با دوام بالا است. این روش نه تنها دندان‌های آسیب‌دیده را ترمیم می‌کند، بلکه به شما لبخندی یکدست و طبیعی هدیه می‌دهد.

در این مقاله، به بررسی پرکردگی همرنگ دندان، مزایا، روش انجام و نکات مراقبتی آن می‌پردازیم تا شما با آگاهی کامل برای درمان تصمیم بگیرید.

ترمیم دندان با کامپوزیت

پرکردگی همرنگ دندان چیست؟

پرکردگی همرنگ دندان، نوعی ترمیم دندان است که با مواد همرنگ با مینای طبیعی دندان انجام می‌شود تا ظاهر کاملاً طبیعی و یکدست حفظ شود. این پرکردگی‌ها معمولاً از کامپوزیت رزینی، سرامیک یا ترکیبی از مواد پیشرفته ساخته می‌شوند و به‌عنوان جایگزینی برای پرکردگی‌های سنتی فلزی (آمالگام) استفاده می‌شوند.

مزایای اصلی پرکردگی همرنگ دندان:

  1. طبیعی بودن ظاهر دندان: رنگ مواد با دندان‌های مجاور مطابقت دارد و قابل تشخیص نیست.
  2. حفظ ساختار دندان: برخلاف روش‌های قدیمی، تراش دندان کمتر انجام می‌شود و دندان سالم حفظ می‌شود.
  3. دوام و مقاومت بالا: با تکنیک صحیح و مواد با کیفیت، پرکردگی همرنگ دوام بالایی دارد و می‌تواند سال‌ها عمر کند.

این نوع ترمیم به‌خصوص برای دندان‌های جلویی و قسمت‌هایی که ظاهر لبخند اهمیت دارد گزینه ایده‌آلی است و ترکیبی از زیبایی و سلامت دندان را فراهم می‌کند.

 

چه زمانی به پرکردگی همرنگ نیاز داریم؟

پرکردگی همرنگ دندان یک گزینه بسیار کاربردی است که می‌تواند در شرایط مختلف برای حفظ سلامت و زیبایی دندان‌ها مورد استفاده قرار بگیرد. معمولاً در موارد زیر توصیه می‌شود:

1. پوسیدگی دندان

زمانی که مینای دندان دچار پوسیدگی شده باشد، پرکردگی همرنگ می‌تواند بدون آسیب به ساختار سالم دندان، پوسیدگی را ترمیم کند.

خواندن این مطلب را هم پیشنهاد می کنیم:
ایمپلنت دندان برای چه کسانی مناسب است؟
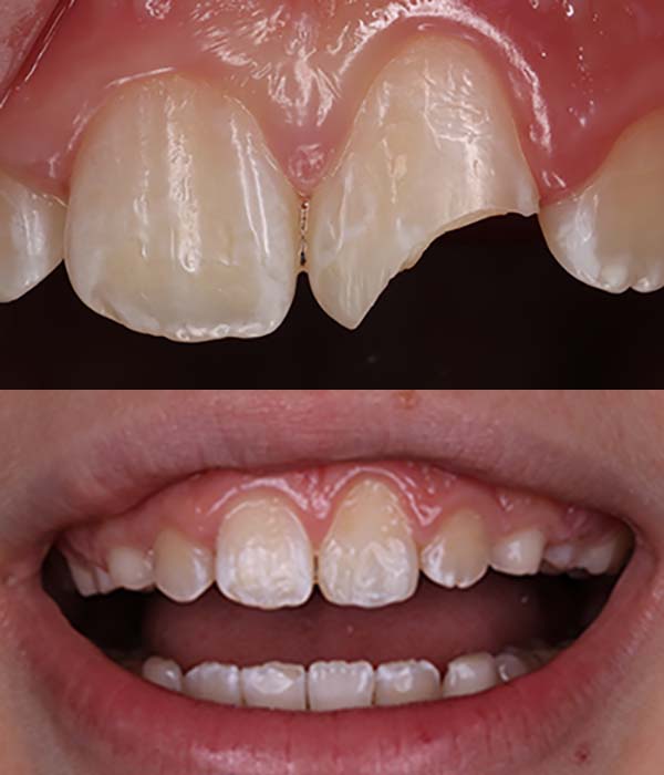
2. ترک یا شکستگی جزئی دندان

شکستگی‌های کوچک یا ترک‌های سطحی دندان که ظاهر لبخند را تحت تاثیر قرار می‌دهند، با این روش به‌صورت طبیعی ترمیم می‌شوند.

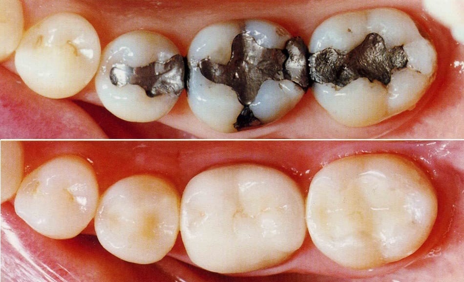
3. جایگزینی پرکردگی قدیمی یا فلزی

پرکردگی‌های قدیمی فلزی که رنگشان با دندان‌های طبیعی هماهنگ نیست، می‌توانند با پرکردگی همرنگ جایگزین شوند تا ظاهر لبخند یکدست شود.

4. نیاز به ترمیم زیبایی

افرادی که می‌خواهند لبخندشان ظاهر طبیعی و جذاب داشته باشد، حتی بدون پوسیدگی شدید، می‌توانند از باندینگ و پرکردگی همرنگ برای اصلاح شکل و رنگ دندان استفاده کنند.

زیبایی لبخند

مزایای پرکردگی همرنگ دندان

پرکردگی همرنگ دندان علاوه بر ترمیم پوسیدگی و شکستگی، مزایای زیادی دارد که آن را به یکی از محبوب‌ترین روش‌های دندانپزشکی مدرن تبدیل کرده است:

1. ظاهر طبیعی و هماهنگی با دندان‌ها

مواد همرنگ با مینای طبیعی دندان، باعث می‌شوند پرکردگی کاملاً با دندان‌های مجاور یکسان به نظر برسد و کسی متوجه ترمیم نشود.

2. حفظ ساختار دندان سالم

برخلاف پرکردگی‌های فلزی که نیاز به تراش بیشتر دارند، پرکردگی همرنگ با کمترین آسیب به ساختار دندان انجام می‌شود.

3. دوام و مقاومت در برابر فشار جویدن

با استفاده از مواد با کیفیت و تکنیک صحیح، این نوع پرکردگی می‌تواند سال‌ها بدون مشکل دوام بیاورد.

4. کاهش حساسیت دندان بعد از ترمیم

بسیاری از بیماران بعد از ترمیم همرنگ دندان، حساسیت کمتری نسبت به دمای سرد و گرم تجربه می‌کنند.

5. ترمیم سریع و کم‌درد

در بسیاری از موارد، پرکردگی همرنگ در یک جلسه انجام می‌شود و نیاز به چندین مراجعه طولانی ندارد.

 

روش انجام ترمیم همرنگ دندان

پرکردگی همرنگ دندان معمولاً یک روش سریع، کم‌تهاجمی و دقیق است که در کلینیک دندانپزشکی انجام می‌شود. مراحل معمول آن به شرح زیر است:

1. معاینه و تشخیص
  • دندانپزشک ابتدا دندان را معاینه می‌کند و میزان پوسیدگی یا آسیب را مشخص می‌کند.
  • در صورت نیاز، عکس رادیوگرافی برای بررسی دقیق‌تر انجام می‌شود.
خواندن این مطلب را هم پیشنهاد می کنیم:
انواع روکش های دندان
2. آماده‌سازی دندان
  • ناحیه پوسیده یا آسیب‌دیده پاکسازی می‌شود.
  • فقط بخش‌های آسیب‌دیده برداشته می‌شود و ساختار سالم دندان حفظ می‌شود.
3. انتخاب رنگ مناسب
  • رنگ ماده پرکردگی با دندان‌های مجاور هماهنگ می‌شود تا ظاهر کاملاً طبیعی داشته باشد.
4. قرار دادن مواد پرکردگی
  • مواد همرنگ دندان به صورت لایه‌ای روی دندان قرار می‌گیرند.
  • هر لایه با نور خاص (LED یا UV) سخت می‌شود تا مقاومت و دوام بالا حفظ شود.
5. پولیش و صیقل نهایی
  • دندانپزشک سطح پرکردگی را صاف و صیقل می‌دهد تا کاملاً با دندان طبیعی یکدست شود.
  • عملکرد جویدن بررسی می‌شود و در صورت نیاز، اصلاحات نهایی انجام می‌شود.

نکته: اغلب این درمان در یک جلسه انجام می‌شود و نیاز به بیهوشی یا مراجعه مکرر ندارد، مگر در موارد پیچیده.

 

نگهداری و مراقبت بعد از پرکردگی همرنگ دندان

بعد از انجام پرکردگی‌همرنگ دندان، رعایت چند نکته ساده باعث دوام بیشتر ترمیم و سلامت دندان‌ها می‌شود:

1. رعایت بهداشت دهان و دندان
  • حداقل دو بار مسواک زدن در روز با خمیر دندان فلوراید دار
  • استفاده روزانه از نخ دندان برای جلوگیری از تجمع پلاک در اطراف پرکردگی
2. اجتناب از غذاهای بسیار سخت یا چسبنده
  • خوراکی‌های سفت مانند آجیل یا یخ می‌توانند باعث ترک یا لب‌پریدگی پرکردگی شوند
  • مواد چسبنده مانند آدامس‌های سفت ممکن است ترمیم را تحت فشار قرار دهند
3. مراجعه منظم به دندانپزشک
  • بررسی سلامت ترمیم‌ها و دندان‌های مجاور هر ۶ ماه یک بار
  • در صورت مشاهده ترک یا لکه، ترمیم سریع باعث افزایش دوام می‌شود
4. اجتناب از عادات مضر
  • ناخن جویدن، جویدن خودکار یا مداد، دندان قروچه در خواب
  • در صورت دندان قروچه، استفاده از نایت گارد توصیه می‌شود
خواندن این مطلب را هم پیشنهاد می کنیم:
ایمپلنت دندان جلو

با رعایت این نکات، پرکردگی همرنگ دندان می‌تواند سال‌ها سالم و زیبا باقی بماند و لبخندی طبیعی و جذاب برای شما ایجاد کند.

 

سوالات متداول درباره پرکردگی همرنگ دندان

 

1. آیا پرکردگی همرنگ دندان دوام بیشتری دارد؟

بله، با استفاده از مواد با کیفیت و تکنیک صحیح، این پرکردگی‌ها می‌توانند ۵ تا ۱۰ سال یا حتی بیشتر دوام داشته باشند، البته بسته به مراقبت و عادات فردی.

 

2. آیا پرکردگی همرنگ باعث حساسیت دندان می‌شود؟

اکثر بیماران حساسیت کمتری نسبت به دمای سرد و گرم تجربه می‌کنند، اما در برخی موارد کوتاه‌مدت ممکن است کمی حساسیت مشاهده شود که طبیعی است و به مرور کاهش می‌یابد.

 

3. پرکردگی همرنگ چقدر هزینه دارد؟

هزینه بستگی به نوع مواد، تعداد دندان‌ها و میزان آسیب دارد، اما معمولاً کمی بالاتر از پرکردگی‌های فلزی سنتی است، به دلیل ظاهر طبیعی و مزایای طولانی‌مدت آن.

 

4. آیا پرکردگی همرنگ در یک جلسه انجام می‌شود؟

در بسیاری از موارد، بله. مگر اینکه دندان نیاز به درمان پیچیده‌تر داشته باشد.

 

5. چگونه می‌توانم دوام پرکردگی را افزایش دهم؟

رعایت بهداشت دهان و دندان، جلوگیری از جویدن خوراکی‌های سخت و مراجعه منظم به دندانپزشک باعث افزایش طول عمر پرکردگی می‌شود.

 

نتیجه‌گیری

پرکردگی همرنگ‌دندان یکی از بهترین روش‌های ترمیم دندان‌های آسیب‌دیده است که هم سلامت دندان‌ها را حفظ می‌کند و هم ظاهر طبیعی و زیبایی لبخند را تضمین می‌کند. این روش با استفاده از مواد با کیفیت و تکنیک‌های پیشرفته، باعث می‌شود دندان‌ها به شکل یکدست و جذاب ترمیم شوند و دوام طولانی‌مدتی داشته باشند.

با رعایت نکات مراقبتی ساده مانند بهداشت دهان و دندان، اجتناب از خوراکی‌های سخت و مراجعه منظم به دندانپزشک، پرکردگی همرنگ می‌تواند سال‌ها بدون مشکل باقی بماند و لبخند شما همیشه سالم و زیبا باشد.

دیدگاهتان را بنویسید

نشانی ایمیل شما منتشر نخواهد شد. بخش‌های موردنیاز علامت‌گذاری شده‌اند *

پرکردگی همرنگ دندان

آخرین مطالب

پرکردگی همرنگ دندان

پرکردگی همرنگ دندان با دوام بالا

چیزهایی که نباید بعد از ایمپلنت دندان انجام دهید

چیزهایی که نباید بعد از ایمپلنت دندان انجام دهید

چرا بعد از ایمپلنت لثه عقب می‌رود؟

چرا بعد از ایمپلنت لثه عقب می‌رود؟

روکش دندان و زیبایی لبخند

روکش دندان و زیبایی لبخند