مقدمه: آیا عقب رفتن لثه بعد از ایمپلنت طبیعی است؟
چرا بعد از ایمپلنت لثه عقب میرود؟ کاشت ایمپلنت دندان یکی از بهترین و ماندگارترین روشهای جایگزینی دندان از دسترفته است؛ اما برای اینکه نتیجه آن طبیعی، زیبا و بدون مشکل باشد، سلامت لثه در اطراف ایمپلنت اهمیت بسیار زیادی دارد. یکی از موضوعاتی که گاهی بیماران را نگران میکند، عقب رفتگی لثه بعد از ایمپلنت (Gum Recession) است؛ وضعیتی که در آن لثه کمی بالاتر میرود و ممکن است باعث دیده شدن لبه فلزی ایمپلنت یا بلندتر دیده شدن دندان شود.
خبر خوب این است که:
این مشکل قابل پیشگیری و کاملاً قابل درمان است، بهشرطی که علت آن بهدرستی تشخیص داده شود و مراقبتهای لازم انجام بگیرد.
در ادامه این مقاله، بهصورت کامل و مرحلهبهمرحله بررسی میکنیم که چرا لثه بعد از کاشت ایمپلنت دندان ممکن است عقب برود و بهترین راههای جلوگیری از آن چیست.

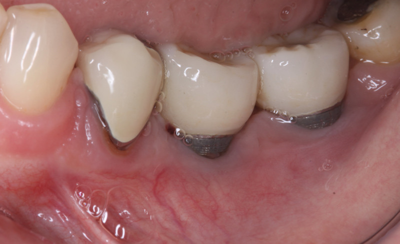
عقب رفتگی لثه بعد از ایمپلنت چیست؟
عقبرفتگی لثه بعد از کاشت ایمپلنت دندان به وضعیتی گفته میشود که بافت لثهای که دور ایمپلنت را احاطه کرده، بهمرور به سمت بالا (در فک بالا) یا پایین (در فک پایین) حرکت میکند. در این حالت، لبه لثه از موقعیت طبیعی خود فاصله میگیرد و بخشی از سطح ایمپلنت یا زیرساخت روکش نمایان میشود.
این مشکل میتواند:
- زیبایی لبخند را تحت تأثیر قرار دهد
- باعث بلندتر دیده شدن دندان ایمپلنتشده شود
- حساسیت یا التهاب ایجاد کند
- و در صورت پیشرفت، حتی به ساختار استخوان نیز آسیب بزند
نکته مهم این است که عقب رفتگی لثه با تحلیل استخوان فرق دارد؛ در بسیاری از بیماران، استخوان کاملاً سالم است اما بهدلیل عوامل دیگر (که در بخش بعدی توضیح میدهیم) لثه عقب میرود و ظاهر ایمپلنت را دچار تغییر میکند.
در ایمپلنت های ناحیه جلو، که در لبخند بهوضوح دیده میشوند، این مشکل بیشتر باعث نگرانی میشود و نیاز به تشخیص و درمان حرفهای توسط متخصص جراحی لثه دارد؛ دقیقاً همان حوزهای که دکتر دوستکی در آن تجربه و مهارت بالایی دارند.
دلایل عقب رفتگی لثه بعد از ایمپلنت
عقب رفتگی لثه بعد از ایمپلنت دندان معمولاً یکشبه اتفاق نمیافتد و بیشتر نتیجه ترکیبی از عوامل مختلف است. مهمترین دلایل عبارتند از:
۱. نازک بودن بافت لثه یا استخوان فک
بعضی از بیماران بهطور طبیعی لثه نازکتری دارند. اگر لثه یا استخوان نازک باشد، ممکن است بعد از کاشت ایمپلنت کمی تحلیل ایجاد شود و لثه عقب برود.
۲. قرارگیری نامناسب ایمپلنت
اگر ایمپلنت کمی جلوتر یا عقبتر از موقعیت ایدهآل قرار بگیرد، میتواند روی ظاهر لثه اثر بگذارد.
۳. بیماریهای لثه یا التهاب
اگر بعد از جراحی بهداشت رعایت نشود یا فرد سابقه مشکلات لثه داشته باشد، التهاب ایجاد میشود و این التهاب میتواند باعث عقبرفتگی تدریجی لثه شود.
۴. فشار بیش از حد روی ایمپلنت
گاهی روکش ایمپلنت فشار اشتباهی به لثه وارد میکند یا بیمار دندانقروچه دارد. این فشار میتواند باعث تحلیل بافت اطراف ایمپلنت شود.
۵. کشیدن سیگار
سیگار جریان خون لثه را کاهش میدهد و یکی از مهمترین عوامل عقبرفتگی لثه بعد از ایمپلنت دندان است.
چه کسانی بیشتر در معرض عقب رفتگی لثه بعد از ایمپلنت هستند؟
برخی بیماران به دلایل بیولوژیک، سبک زندگی یا شرایط دهان، ریسک بالاتری برای عقب رفتن لثه دارند. این گروهها عبارتند از:
1. افراد سیگاری و مصرفکنندگان دخانیات
کاهش خونرسانی به لثه باعث تحلیل بافت میشود.
2. افرادی با لثه نازک یا بافت ضعیف
تیپ بافتی Thin Biotype بیشتر مستعد عقبرفتگی است.
3. بیماران با بیماریهای لثه فعال
التهاب یا عفونت اطراف دندانها یا ایمپلنتها میتواند تحلیل لثه را تشدید کند.
4. افراد با بهداشت دهان ضعیف
پلاک و جرم باعث تحریک لثه و عقبرفتگی آن میشود.
5. افراد با سابقه تحلیل لثه در دندانهای طبیعی
معمولا همان روند در اطراف ایمپلنت دندان هم رخ میدهد.
6. بیماران دارای مشکلات سیستمیک
مانند دیابت کنترلنشده که روند بهبود بافت را کند میکند.

علائم هشداردهنده عقب رفتگی لثه بعد از ایمپلنت
شناسایی زودهنگام علائم عقبرفتگی لثه باعث میشود درمان سریع و نتیجه بهتر باشد. برخی از مهمترین نشانهها عبارتند از:
1. دیده شدن لبه فلزی یا زیرساخت ایمپلنت
اگر لثه عقب برود، قسمت فلزی یا پایه ایمپلنت ممکن است نمایان شود.
2. بلندتر دیده شدن دندان ایمپلنتشده
دندان ممکن است نسبت به دندانهای طبیعی کمی بلندتر دیده شود.
3. خونریزی لثه
هنگام مسواک زدن یا نخ دندان، خونریزی نشانه التهاب و تحلیل بافت است.
4. حساسیت به سرما یا لمس
عقب رفتگی لثه باعث میشود ریشه یا ایمپلنت حساس شود.
5. بوی بد یا مزه ناخوشایند در دهان
گاهی التهاب و تجمع باکتریها باعث ایجاد بو میشود.
6. ایجاد فاصله بین لثه و روکش ایمپلنت
ممکن است فضای خالی بین لثه و روکش ظاهر شود که تجمع باکتری را تسهیل میکند.
راه های جلوگیری از عقب رفتن لثه
جلوگیری از عقب رفتگی لثه یکی از اولویتهای اصلی در کاشت ایمپلنت است. روشهای پیشگیری شامل موارد زیر هستند:
۱. بررسی دقیق بافت لثه و استخوان قبل از جراحی
- قبل از کاشت ایمپلنت، حجم لثه و استخوان به دقت اندازهگیری میشود.
- در صورت نازک بودن بافت، پیوند لثه یا استخوان انجام میشود تا پایه ایمپلنت مقاوم و زیبا باشد.
۲. قرارگیری دقیق ایمپلنت با هدایت دیجیتال
- استفاده از اسکن سه بعدی و گاید جراحی دیجیتال باعث میشود ایمپلنت دندان در بهترین زاویه و عمق قرار گیرد و فشار نامناسب به لثه وارد نشود.
۳. انتخاب ایمپلنت مناسب برای هر بیمار
- ایمپلنتها بر اساس حجم استخوان، ضخامت لثه و موقعیت لبخند انتخاب میشوند.
- این کار باعث کاهش فشار و تحلیل بافت میشود.
۴. کنترل فشار روکش و پروتز
- روکش ایمپلنت بهصورت دقیق و بدون ایجاد فشار اضافی طراحی میشود تا از تحریک لثه جلوگیری شود.
۵. مراقبت و پیگیری منظم بعد از جراحی
- بیماران تحت چکاپ دورهای منظم قرار میگیرند تا التهاب یا هر مشکل کوچک سریع تشخیص داده و درمان شود.

روشهای درمان عقب رفتگی لثه بعد از ایمپلنت
اگر عقب رفتگی لثه بعد از کاشت ایمپلنت دندان رخ داده باشد، چند روش درمانی وجود دارد که با توجه به شدت مشکل و شرایط بیمار انتخاب میشوند:
۱. پیوند لثه (Connective Tissue Graft)
- یکی از رایجترین و مؤثرترین روشهاست.
- بافت لثه سالم از ناحیه دیگری (معمولاً سقف دهان) برداشته و در محل عقبرفته پیوند زده میشود.
- نتیجه: لثه ضخیمتر و مقاومتر شده و ظاهر طبیعی بازمیگردد.
۲. تکنیک Pinhole (بدون بخیه)
- روش نوین و کمتهاجمی برای بازگرداندن لثه بدون جراحی باز.
- دوران بهبودی کوتاه و بدون درد شدید است.
- مناسب برای بیمارانی که ترجیح میدهند کمتر دستکاری جراحی داشته باشند.
۳. استفاده از لیزر برای کاهش التهاب
- لیزر باعث کاهش التهاب و تحریک بافت لثه میشود.
- میتواند همراه با روشهای پیوند یا بهصورت تکمیلی استفاده شود.
۴. ترمیم زیبایی پاپیلا
- پاپیلا (بافت بین دندانها) در ناحیه جلو بسیار مهم است.
- ترمیم آن باعث بهبود ظاهر لبخند و جلوگیری از فاصله بین ایمپلنتها میشود.
۵. اصلاح پروتز و بایت
- اگر فشار نامناسب روی ایمپلنت باعث عقب رفتگی شده باشد، تنظیم پروتز یا روکش میتواند جلوی پیشرفت تحلیل را بگیرد.
بهترین روشهای پیشگیری از عقب رفتگی لثه بعد از ایمپلنت
پیشگیری همیشه بهتر از درمان است و رعایت چند نکته ساده میتواند احتمال عقب رفتگی لثه را به حداقل برساند:
۱. رعایت بهداشت دقیق دهان
- مسواک نرم و مناسب اطراف ایمپلنت
- استفاده منظم از نخ دندان و واتر فلاسر
- جلوگیری از تجمع پلاک و باکتری
۲. مراجعه منظم به دندانپزشک
- چکاپ دورهای هر ۳ تا ۶ ماه
- بررسی التهاب، لثه و پروتز ایمپلنت
- تشخیص زودهنگام هر مشکل
۳. پرهیز از دخانیات
- سیگار و قلیان جریان خون لثه را کاهش میدهند
- ترک دخانیات باعث سلامت بافت لثه و استخوان میشود
۴. رعایت مراقبتهای بعد از جراحی
- اجتناب از فشار زیاد روی ایمپلنت در هفتههای اولیه
- رعایت دستورالعملهای جراح برای شستشو و ضدعفونی
۵. انتخاب پروتز و روکش مناسب
- روکش دقیق و بدون فشار بیش از حد
- جلوگیری از دندان قروچه یا عادات مضری که لثه را تحریک میکنند
۶. تقویت لثه در صورت نیاز
- در بیماران با لثه نازک، قبل یا همزمان با ایمپلنت، پیوند لثه یا تکنیکهای محافظتی انجام شود.
با رعایت این نکات، لثه اطراف ایمپلنت سالم، ضخیم و زیبا باقی میماند و لبخند طبیعی بیمار حفظ میشود.
سوالات متداول بیماران
1. عقب رفتگی لثه بعد از ایمپلنت دندان چقدر شایع است؟
اگر جراحی اصولی انجام شود و بیمار بهداشت دهان را رعایت کند، درصد کمی از بیماران دچار عقبرفتگی میشوند. با بررسی بافت لثه و پیوند در صورت نیاز، احتمال این مشکل بسیار کم میشود.
2. آیا عقب رفتگی لثه دردناک است؟
معمولاً خیر. اما ممکن است حساسیت به لمس یا سرما ایجاد شود، مخصوصاً اگر تحلیل لثه پیشرفت کرده باشد.
3. آیا عقب رفتگی لثه باعث شکست ایمپلنت میشود؟
اگر به موقع درمان نشود و تحلیل ادامه یابد، میتواند ریسک عفونت یا مشکلات استخوانی را افزایش دهد. اما با مراقبت و درمان بهموقع، ایمپلنت سالم میماند.
4. درمان عقب رفتگی لثه چقدر طول میکشد؟
بستگی به روش انتخابی دارد. پیوند لثه معمولاً یک جلسه جراحی است، اما دوران بهبود کامل ۲–۴ هفته طول میکشد. روشهای کمتهاجمی مثل تکنیک Pinhole زمان بهبودی کوتاهتری دارند.
5. آیا میتوان از عقب رفتگی لثه پیشگیری کرد؟
بله، با رعایت بهداشت دهان، ترک دخانیات، مراقبتهای بعد از جراحی، و پیگیری دورهای در کلینیک، احتمال عقبرفتگی لثه بسیار کاهش مییابد.
جمعبندی و راهنمایی برای بیماران
عقب رفتگی لثه بعد از کاشت ایمپلنت دندان یک مشکل قابل پیشگیری و درمان است. با انتخاب جراح متخصص، بررسی بافت لثه و استخوان قبل از جراحی، رعایت بهداشت دهان و پیگیری منظم، میتوان از تحلیل لثه جلوگیری کرد و یک لبخند سالم، طبیعی و زیبا داشت.
در دندانپزشکی تخصصی دکتر دوستکی در تهران – ونک، هر بیمار با دقت بررسی میشود و بهترین روشها برای جلوگیری از عقب رفتگی لثه و حفظ سلامت ایمپلنت به کار گرفته میشود.
اگر قصد کاشت ایمپلنت دندان دارید یا نگران سلامت لثه و ظاهر لبخندتان هستید، هماکنون با دکتر دوستکی تماس بگیرید و یک مشاوره تخصصی ایمپلنت و جراحی لثه دریافت کنید.
با راهنمایی و درمان حرفهای، لبخندتان هم زیبا و هم سالم باقی میماند.