
چرا بعد از ایمپلنت لثه عقب میرود؟
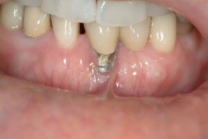
مقدمه: آیا عقب رفتن لثه بعد از ایمپلنت طبیعی است؟ چرا بعد از ایمپلنت لثه عقب میرود؟ کاشت ایمپلنت دندان یکی از بهترین و ماندگارترین

مقدمه: آیا عقب رفتن لثه بعد از ایمپلنت طبیعی است؟ چرا بعد از ایمپلنت لثه عقب میرود؟ کاشت ایمپلنت دندان یکی از بهترین و ماندگارترین
دندانپزشکی تخصصی دکتر سهیلا دوستکی در ونک با بهرهگیری از دانش روز، تجهیزات مدرن و تیمی مجرب، خدمات متنوع و تخصصی دندانپزشکی را به مراجعین ارائه میدهد. این خدمات شامل ایمپلنت دندان برای جایگزینی دندانهای از دسترفته، انواع جراحیهای پیشرفته لثه برای درمان بیماریهای لثه و بهبود سلامت دهان، پیوند استخوان فک، ونیر کامپوزیت جهت اصلاح طرح لبخند و زیبایی دندانها، و دیگر درمانهای تخصصی مانند ترمیم، عصبکشی، خدمات زیبایی دندان است. هدف این مجموعه، ارائه درمانهای دقیق، ایمن و ماندگار در محیطی آرام و حرفهای برای حفظ سلامت و زیبایی لبخند مراجعین میباشد.
آدرس: تهران، میدان ونک، ضلع شمال شرقی، کوچه صانعی، پلاک 50، طبقه دوم ، واحد 5
شماره موبایل و واتس آپ: ۰۹۹۳۹۹۹۶۳۴۵
شماره تماس: 02188665648
کلیه حقوق این سایت متعلق به دندان پزشکی دکتر سهیلا دوستکی می باشد.